[PR]
×
[PR]上記の広告は3ヶ月以上新規記事投稿のないブログに表示されています。新しい記事を書く事で広告が消えます。
日々進歩
今回で2回目となった
股関節の手術。。
右を手術したのは4年前だった。。
やはりこの時期に手術したんだよな。。。
6月に手術。。で退院できたのが9月の残暑のころだった。。
4年前の手術に比べると。。。
なんて早い..と驚く事ばかり。。。
16日の10時に手術室に入り。。(2番目だった)
麻酔を掛けられ。。
目が覚めたのは。。。夕方5時
丁度点滴を取替えに着てくれていた看護婦サンに
時間を聞いて、、、
またウトウト。。。
手術中はほんの一瞬だったようにも思えていたのだが。。
手術が終わったのが15時半だと後で聞いて・・
其れも驚いた、、
で。。
・ 術翌日 :患肢挙上訓練を開始(この日からリハビリが・・・)
・ 術後4日目 :車椅子移動、ベッド端座位を許可
・ 術後1週目 :両松葉杖歩行を開始(体重負荷3分の1)
・ 術後2週目 :片松葉杖歩行を開始(体重負荷半分)
今この時期です、、、
って。。
月曜から負荷3分の2になりますが。。
とにかく早い。。。
4年前とは比べ物になりません・・
で拓ママ
4月の膝関節の時に肝炎を移されたのもあり。。
2週間感染予防室に軟禁??されていました。。。
この間が一番イヤイヤ"o(><;)o o(;><)o"イヤイヤ o(>_<)o ☆
だったかな。。。
でも。。
その間の先生達の努力で??
中止されていたエンブレルの注射が
また再開できる事に。。。
ヤッター
文京の先生..*::::*☆ありがとう☆*::::*
エンブレルが打てるとなれば。。
きっと痛みは激変してくれる事でしょう。。。
(人-)謝謝(-人)謝謝です。。
という事で


ベットの差額代と食事代を払い。。。
気持ち良く。。??
文京から
地元へ。。

このポスター見て(‘0‘*ヘ)ほっと(♪*‘0‘♪)ホットしました・・

灰皿も残っていたし・・
d( ̄  ̄) ヾ(^o^;オイオイ・・・
股関節の手術。。
右を手術したのは4年前だった。。
やはりこの時期に手術したんだよな。。。
6月に手術。。で退院できたのが9月の残暑のころだった。。
4年前の手術に比べると。。。
なんて早い..と驚く事ばかり。。。
16日の10時に手術室に入り。。(2番目だった)
麻酔を掛けられ。。
目が覚めたのは。。。夕方5時
丁度点滴を取替えに着てくれていた看護婦サンに
時間を聞いて、、、
またウトウト。。。
手術中はほんの一瞬だったようにも思えていたのだが。。
手術が終わったのが15時半だと後で聞いて・・
其れも驚いた、、
で。。
・ 術翌日 :患肢挙上訓練を開始(この日からリハビリが・・・)
・ 術後4日目 :車椅子移動、ベッド端座位を許可
・ 術後1週目 :両松葉杖歩行を開始(体重負荷3分の1)
・ 術後2週目 :片松葉杖歩行を開始(体重負荷半分)
今この時期です、、、
って。。
月曜から負荷3分の2になりますが。。
とにかく早い。。。
4年前とは比べ物になりません・・
で拓ママ
4月の膝関節の時に肝炎を移されたのもあり。。
2週間感染予防室に軟禁??されていました。。。
この間が一番イヤイヤ"o(><;)o o(;><)o"イヤイヤ o(>_<)o ☆
だったかな。。。
でも。。
その間の先生達の努力で??
中止されていたエンブレルの注射が
また再開できる事に。。。
ヤッター
文京の先生..*::::*☆ありがとう☆*::::*
エンブレルが打てるとなれば。。
きっと痛みは激変してくれる事でしょう。。。
(人-)謝謝(-人)謝謝です。。
という事で
ベットの差額代と食事代を払い。。。
気持ち良く。。??
文京から
地元へ。。
このポスター見て(‘0‘*ヘ)ほっと(♪*‘0‘♪)ホットしました・・
灰皿も残っていたし・・
d( ̄  ̄) ヾ(^o^;オイオイ・・・
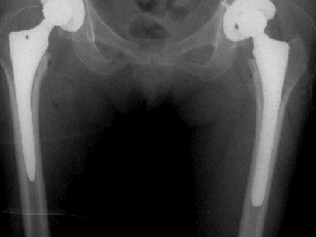
これが今回のレントゲン。。
4年前とチョッと変わっているような。。。
右と左の長さが違いますね。。
この人工関節は15年ほどで交換するのですが。。
右は後11年か。。。
拓ママ見事に50代になってるんだろうな。。。
まぁ。。
今から考えても仕方がない。。
10年後の医学の進歩に期待しましょう!!
ガンバ!o( ̄へ ̄o)(o ̄へ ̄)oガンバ!日本の医学!!
入院してる間に
みかんさんが
TDLのお土産にと。。。
か♪わ♪い♪い~♪プーさんのふりかけとマスクも
在るのですが。。
其れは病院において着てるので・・
みかんさん♪
いつもアリガト エヘ♪(*^・^)ノ ⌒☆(*^_^*) ポッ
さて、、、
チビタ。。。ですが。。。
帰ってきたときは。。。
寝てました。。
起きて。。。
あんた??^(,_,*)(*,_,)^ダレダレ
寝ぼけてますね。。。
(@゜Д゜@;)あら・・・?・・・
あんた??ママなの。。。~
って。・。。
PR
この記事にコメントする
無題
拓美ちゃん、「お、おかーたん!」ってお顔かわいい~。
股関節も交換するんですねぇ・・。
医学が進歩して交換なしでいけるといいのですが。
無理なさらないで下さいね!
股関節も交換するんですねぇ・・。
医学が進歩して交換なしでいけるといいのですが。
無理なさらないで下さいね!
Re:みかんさん♪
>拓美ちゃん、「お、おかーたん!」ってお顔かわいい~。
>股関節も交換するんですねぇ・・。
>医学が進歩して交換なしでいけるといいのですが。
>無理なさらないで下さいね!
アリガト エヘ♪(*^・^)ノ ⌒☆(*^_^*) ポッ
変えてきたよ~
あと残るのは右の膝~
暫くは下界にいられるかな??
>股関節も交換するんですねぇ・・。
>医学が進歩して交換なしでいけるといいのですが。
>無理なさらないで下さいね!
アリガト エヘ♪(*^・^)ノ ⌒☆(*^_^*) ポッ
変えてきたよ~
あと残るのは右の膝~
暫くは下界にいられるかな??
無題
最後の写真「さ~んっ!」の顔やぁ~!^m^
(別にアホ顔とは言ってへんでぇ~(^_^;)!)
手術後のリハビリって、始まるのが早くなってるんやねー!
私の頃・・・かれこれ20年前なんて・・・
手術後は、動いたらアカンし!
食べ物も、丸々3日間は、何も食べさせてもらえんかった!
で、ジッとしてるうちに、どんどん癒着が進んで・・・今に至るみたいな・・・ww
まぁ・・・日々技術は進歩してるってことだよね!
今回は、エンブル注射も出来て、痛みも軽減するみたいだし・・・
よかったよかった!!
(別にアホ顔とは言ってへんでぇ~(^_^;)!)
手術後のリハビリって、始まるのが早くなってるんやねー!
私の頃・・・かれこれ20年前なんて・・・
手術後は、動いたらアカンし!
食べ物も、丸々3日間は、何も食べさせてもらえんかった!
で、ジッとしてるうちに、どんどん癒着が進んで・・・今に至るみたいな・・・ww
まぁ・・・日々技術は進歩してるってことだよね!
今回は、エンブル注射も出来て、痛みも軽減するみたいだし・・・
よかったよかった!!
Re:ユニコーンさん♪
>最後の写真「さ~んっ!」の顔やぁ~!^m^
>(別にアホ顔とは言ってへんでぇ~(^_^;)!)
>
ニャハハ(*^▽^*)
世界の。。。。狙ってみるか。。。
>手術後のリハビリって、始まるのが早くなってるんやねー!
>私の頃・・・かれこれ20年前なんて・・・
>手術後は、動いたらアカンし!
>食べ物も、丸々3日間は、何も食べさせてもらえんかった!
>で、ジッとしてるうちに、どんどん癒着が進んで・・・今に至るみたいな・・・ww
>まぁ・・・日々技術は進歩してるってことだよね!
( ̄ー ̄(_ _( ̄ー ̄(_ _そうそう
日々進歩してるんだよな。。
>今回は、エンブル注射も出来て、痛みも軽減するみたいだし・・・
>よかったよかった!!
アリガト エヘ♪(*^・^)ノ ⌒☆(*^_^*) ポッ
>(別にアホ顔とは言ってへんでぇ~(^_^;)!)
>
ニャハハ(*^▽^*)
世界の。。。。狙ってみるか。。。
>手術後のリハビリって、始まるのが早くなってるんやねー!
>私の頃・・・かれこれ20年前なんて・・・
>手術後は、動いたらアカンし!
>食べ物も、丸々3日間は、何も食べさせてもらえんかった!
>で、ジッとしてるうちに、どんどん癒着が進んで・・・今に至るみたいな・・・ww
>まぁ・・・日々技術は進歩してるってことだよね!
( ̄ー ̄(_ _( ̄ー ̄(_ _そうそう
日々進歩してるんだよな。。
>今回は、エンブル注射も出来て、痛みも軽減するみたいだし・・・
>よかったよかった!!
アリガト エヘ♪(*^・^)ノ ⌒☆(*^_^*) ポッ
良かったですね
よくがんばってきました。
技術の進歩もすごいけれど、
拓ママさんの体もすごいです。
拓美ちゃん・・・・
体で表現伝わってきます
よかったねぇ。
拓ママいなくても、ブログ
1日(100カウント)
位UPしてましたねぇ、すごい。
技術の進歩もすごいけれど、
拓ママさんの体もすごいです。
拓美ちゃん・・・・
体で表現伝わってきます
よかったねぇ。
拓ママいなくても、ブログ
1日(100カウント)
位UPしてましたねぇ、すごい。
Re:ミキサー・タカさん♪
>よくがんばってきました。
>技術の進歩もすごいけれど、
>拓ママさんの体もすごいです。
>
(〃^∇^)o_彡☆あははははっ
゜☆,。・:*:・゜★o(´▽`*)/♪Thanks♪\(*´▽`)o゜★,。・:*:・☆゜です。・
>拓美ちゃん・・・・
>体で表現伝わってきます
>よかったねぇ。
>
・・・(゜_゜i)タラー・・・・・
親子で抱き合い感激の・・・
には遠かった・・・
>拓ママいなくても、ブログ
>1日(100カウント)
>位UPしてましたねぇ、すごい。
皆様のお陰ですね。。
(人-)謝謝(-人)謝謝。。。
>技術の進歩もすごいけれど、
>拓ママさんの体もすごいです。
>
(〃^∇^)o_彡☆あははははっ
゜☆,。・:*:・゜★o(´▽`*)/♪Thanks♪\(*´▽`)o゜★,。・:*:・☆゜です。・
>拓美ちゃん・・・・
>体で表現伝わってきます
>よかったねぇ。
>
・・・(゜_゜i)タラー・・・・・
親子で抱き合い感激の・・・
には遠かった・・・
>拓ママいなくても、ブログ
>1日(100カウント)
>位UPしてましたねぇ、すごい。
皆様のお陰ですね。。
(人-)謝謝(-人)謝謝。。。
無題
何気に自分のブログ見てびっくり!
一時帰宅が許されたのね~
おかえり~~
5時間もの手術に耐え、その後も
順調に回復しているようで
ほんとに良かったと思います。
まだまだリハビリとかつらいだろうけど
持ち前のフャイトと明るさで
乗り越えていって下さいね。
ママに久しぶりに会えたみたいで
嬉しいわ~
拓ちゃん寝ぼけてて、あれ~って
感じだったのかな?
昨日からいっきに夏日になったね。
体調崩さないようにお大事にしてね~
一時帰宅が許されたのね~
おかえり~~
5時間もの手術に耐え、その後も
順調に回復しているようで
ほんとに良かったと思います。
まだまだリハビリとかつらいだろうけど
持ち前のフャイトと明るさで
乗り越えていって下さいね。
ママに久しぶりに会えたみたいで
嬉しいわ~
拓ちゃん寝ぼけてて、あれ~って
感じだったのかな?
昨日からいっきに夏日になったね。
体調崩さないようにお大事にしてね~
Re:とんとママさん♪
>何気に自分のブログ見てびっくり!
>一時帰宅が許されたのね~
>おかえり~~
>
(*'-'*)エヘヘ
(*^O^*)タ(*^O^*)ダ(*^ー^*)イ(*^O^*)マーー!
>5時間もの手術に耐え、その後も
>順調に回復しているようで
>ほんとに良かったと思います。
>
アリガト エヘ♪(*^・^)ノ ⌒☆(*^_^*) ポッ
>まだまだリハビリとかつらいだろうけど
>持ち前のフャイトと明るさで
>乗り越えていって下さいね。
>
ヾ(´▽`*)ゝあーい♪
頑張るぞ~♪
>ママに久しぶりに会えたみたいで
>嬉しいわ~
>
>拓ちゃん寝ぼけてて、あれ~って
>感じだったのかな?
>
[壁]ノ_<。)グシュ 。。。
感激のご対面。。。とは
行きませんでした。。
>昨日からいっきに夏日になったね。
>体調崩さないようにお大事にしてね~
>
とんとママさん
昨日の地震で被害はなかったみたいで
良かった~♪
そっちも(;´д`)ゞ アチィー!!d(^-^) デショ?。。
体気を付けてね♪
>
>一時帰宅が許されたのね~
>おかえり~~
>
(*'-'*)エヘヘ
(*^O^*)タ(*^O^*)ダ(*^ー^*)イ(*^O^*)マーー!
>5時間もの手術に耐え、その後も
>順調に回復しているようで
>ほんとに良かったと思います。
>
アリガト エヘ♪(*^・^)ノ ⌒☆(*^_^*) ポッ
>まだまだリハビリとかつらいだろうけど
>持ち前のフャイトと明るさで
>乗り越えていって下さいね。
>
ヾ(´▽`*)ゝあーい♪
頑張るぞ~♪
>ママに久しぶりに会えたみたいで
>嬉しいわ~
>
>拓ちゃん寝ぼけてて、あれ~って
>感じだったのかな?
>
[壁]ノ_<。)グシュ 。。。
感激のご対面。。。とは
行きませんでした。。
>昨日からいっきに夏日になったね。
>体調崩さないようにお大事にしてね~
>
とんとママさん
昨日の地震で被害はなかったみたいで
良かった~♪
そっちも(;´д`)ゞ アチィー!!d(^-^) デショ?。。
体気を付けてね♪
>
無題
拓ママさん♪
こんにちワン(*^.^*)
医学って凄い速さで進歩してるのですね!
10年後はもっと簡単に手術が出来るのではないかしら?
手術の翌日からリハビリですか(ノ゜⊿゜)ノびっくり!!
帰ってきたらちび拓ちゃん寝てた(*'ー'*)ふふっ♪
寝起きの顔ボケッとしてて可愛い(⌒-⌒)ニコニコ...
ママのお顔がまだ夢の中と思ってたかしら(*'ー'*)ふふっ♪
こんにちワン(*^.^*)
医学って凄い速さで進歩してるのですね!
10年後はもっと簡単に手術が出来るのではないかしら?
手術の翌日からリハビリですか(ノ゜⊿゜)ノびっくり!!
帰ってきたらちび拓ちゃん寝てた(*'ー'*)ふふっ♪
寝起きの顔ボケッとしてて可愛い(⌒-⌒)ニコニコ...
ママのお顔がまだ夢の中と思ってたかしら(*'ー'*)ふふっ♪
Re:桃さん♪
>拓ママさん♪
>こんにちワン(*^.^*)
>
・・・(゜_゜i)タラー・・・
お(~∇~* )ノ は(*~∇~*)ノ よっ( *~∇~)ノ
>医学って凄い速さで進歩してるのですね!
>10年後はもっと簡単に手術が出来るのではないかしら?
>
うん!(^^)
きっと負担が減っているような気がしてる。。
>手術の翌日からリハビリですか(ノ゜⊿゜)ノびっくり!!
>
だよ。・。・・
私も(ノ゜⊿゜)ノびっくり!!
>帰ってきたらちび拓ちゃん寝てた(*'ー'*)ふふっ♪
>寝起きの顔ボケッとしてて可愛い(⌒-⌒)ニコニコ...
>ママのお顔がまだ夢の中と思ってたかしら(*'ー'*)ふふっ♪
>
(* ̄ ̄ ̄ ̄ー ̄ ̄ ̄ ̄)フッ。。
まあさ。。期待はしてなかったけど。。
余りにもアッサリしてて。。。[壁]ノ_<。)グシュ
>こんにちワン(*^.^*)
>
・・・(゜_゜i)タラー・・・
お(~∇~* )ノ は(*~∇~*)ノ よっ( *~∇~)ノ
>医学って凄い速さで進歩してるのですね!
>10年後はもっと簡単に手術が出来るのではないかしら?
>
うん!(^^)
きっと負担が減っているような気がしてる。。
>手術の翌日からリハビリですか(ノ゜⊿゜)ノびっくり!!
>
だよ。・。・・
私も(ノ゜⊿゜)ノびっくり!!
>帰ってきたらちび拓ちゃん寝てた(*'ー'*)ふふっ♪
>寝起きの顔ボケッとしてて可愛い(⌒-⌒)ニコニコ...
>ママのお顔がまだ夢の中と思ってたかしら(*'ー'*)ふふっ♪
>
(* ̄ ̄ ̄ ̄ー ̄ ̄ ̄ ̄)フッ。。
まあさ。。期待はしてなかったけど。。
余りにもアッサリしてて。。。[壁]ノ_<。)グシュ
無題
医学もどんどん進んでいますから
10年後はもっと簡単に出来るかも
しれないですね。いくらでも患者さんの
負担を取り除いてあげるのが
これからの医学の課題ですね。
拓美ちゃん、ママが帰ってきて
夢でも見てるようでしょ。本物よ(笑)
地元に戻れてよかったですね。
痛みも減って少しでも拓ママさんが
ラクになってくれればと思います。
10年後はもっと簡単に出来るかも
しれないですね。いくらでも患者さんの
負担を取り除いてあげるのが
これからの医学の課題ですね。
拓美ちゃん、ママが帰ってきて
夢でも見てるようでしょ。本物よ(笑)
地元に戻れてよかったですね。
痛みも減って少しでも拓ママさんが
ラクになってくれればと思います。
Re:エメラルドさん♪
>医学もどんどん進んでいますから
>10年後はもっと簡単に出来るかも
>しれないですね。いくらでも患者さんの
>負担を取り除いてあげるのが
>これからの医学の課題ですね。
半島に1日1日進歩してますよね~
>拓美ちゃん、ママが帰ってきて
>夢でも見てるようでしょ。本物よ(笑)
>地元に戻れてよかったですね。
>痛みも減って少しでも拓ママさんが
>ラクになってくれればと思います。
いつもアリガト エヘ♪(*^・^)ノ ⌒☆(*^_^*) ポッ
ちびた、、、喜んでくれているのか??
パパが仕事から帰ってくるとはしゃいでいるのだが。。。
>10年後はもっと簡単に出来るかも
>しれないですね。いくらでも患者さんの
>負担を取り除いてあげるのが
>これからの医学の課題ですね。
半島に1日1日進歩してますよね~
>拓美ちゃん、ママが帰ってきて
>夢でも見てるようでしょ。本物よ(笑)
>地元に戻れてよかったですね。
>痛みも減って少しでも拓ママさんが
>ラクになってくれればと思います。
いつもアリガト エヘ♪(*^・^)ノ ⌒☆(*^_^*) ポッ
ちびた、、、喜んでくれているのか??
パパが仕事から帰ってくるとはしゃいでいるのだが。。。
ご無沙汰してます
すっかり夏日になっちゃったわね。
経過は順調なのね。おめでとう。
人工股関節が15年も持つなんてスゴイわ。
んっ 今度は50代って、、、見届けられそうもないけど、また頑張ってね。^^
こんな陽気だから、無理しないでご自愛専一よ。
経過は順調なのね。おめでとう。
人工股関節が15年も持つなんてスゴイわ。
んっ 今度は50代って、、、見届けられそうもないけど、また頑張ってね。^^
こんな陽気だから、無理しないでご自愛専一よ。
Re:るるさん♪
ネジネジ..."8-(*・x・)爻(・x・*)-8" オヒサオヒサ♪です
>すっかり夏日になっちゃったわね。
>経過は順調なのね。おめでとう。
*::::*☆ありがとう☆*::::*
>人工股関節が15年も持つなんてスゴイわ。
>んっ 今度は50代って、、、見届けられそうもないけど、また頑張ってね。^^
>こんな陽気だから、無理しないでご自愛専一よ。
>
ニャハハ(*^▽^*)
まぁ無理しない程度に頑張ります~♪
>
>すっかり夏日になっちゃったわね。
>経過は順調なのね。おめでとう。
*::::*☆ありがとう☆*::::*
>人工股関節が15年も持つなんてスゴイわ。
>んっ 今度は50代って、、、見届けられそうもないけど、また頑張ってね。^^
>こんな陽気だから、無理しないでご自愛専一よ。
>
ニャハハ(*^▽^*)
まぁ無理しない程度に頑張ります~♪
>
ブログ内検索
プロフ
HN:
拓ママ
HP:
性別:
女性
自己紹介:
1995年10月12日生れの拓美
2007年5月11日虹の橋を渡り天使になりました。。
そんな我が家にやってきた
2007年4月5日生れの女の子
2代目拓美として頑張っていく所存です。
やはりワンコと暮らすのは素晴らしい世界です、
2007年5月11日虹の橋を渡り天使になりました。。
そんな我が家にやってきた
2007年4月5日生れの女の子
2代目拓美として頑張っていく所存です。
やはりワンコと暮らすのは素晴らしい世界です、
アーカイブ

